Une dent est dite incluse ou bloquée lorsqu’elle ne parvient pas à faire éruption dans la bouche comme prévu. Elle peut alors rester coincée, partiellement ou totalement, dans l’os ou sous la gencive.
Ce phénomène concerne principalement les dents de sagesse et les canines, mais il peut également toucher d’autres dents, notamment les incisives centrales.
Comment reconnaître les signes d’alerte ?
Plusieurs indices permettent de suspecter une dent incluse. Par exemple, lorsqu’une dent tarde à apparaître alors que son éruption est attendue, il est conseillé d’être vigilant. De plus, si une asymétrie est visible entre le côté droit et le côté gauche de la mâchoire, cela peut constituer un signe révélateur. Chez l’enfant, l’éruption des dents définitives commence en général dès l’âge de 6 ans. Ainsi, en cas d’absence prolongée d’une dent, une consultation orthodontique peut s’avérer utile. Par ailleurs, une douleur localisée ou un gonflement persistant au niveau d’une gencive peuvent aussi signaler un problème sous-jacent.
Comprendre les causes d’une dent bloquée

L’origine d’une dent incluse peut être multiple. Tout d’abord, un manque d’espace sur l’arcade dentaire peut empêcher une éruption normale. Ensuite, la présence d’une dent surnuméraire peut obstruer le chemin d’éruption de la dent concernée. Parfois, la trajectoire de poussée est anormale : la dent peut évoluer à l’horizontale, vers le palais ou en dehors de l’axe habituel. En outre, des traumatismes survenus durant l’enfance peuvent perturber le développement des dents permanentes. Enfin, la présence de kystes ou d’anomalies osseuses peut également bloquer ou dévier la trajectoire naturelle d’une dent.
Agir sans attendre en cas de doute
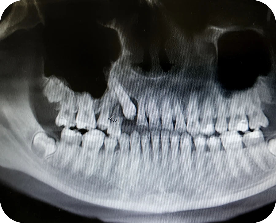
Face à une suspicion de dent incluse, il est important d’agir rapidement. Une première étape consiste à réaliser une radiographie panoramique afin de visualiser l’ensemble de la dentition, y compris les dents encore enfouies. Cette image permet d’évaluer précisément la position, l’orientation et l’état des racines. Une fois ce bilan établi, un échange avec un orthodontiste permet d’envisager les options thérapeutiques adaptées à la situation. Dans certains cas, lorsque la dent est encore immature, une simple surveillance peut suffire. Toutefois, si le blocage persiste, une intervention devient nécessaire.
Le traitement orthodontique adapté à chaque situation
Le traitement des dents incluses varie selon l’âge du patient, la localisation de la dent et la gravité du blocage. Lorsqu’une intervention est envisagée, la première étape consiste généralement à créer de l’espace sur l’arcade dentaire, soit à l’aide d’un appareil amovible, soit avec un dispositif fixe. Si cela ne suffit pas, une désinclusion chirurgicale peut être proposée pour libérer la dent.
Par la suite, une traction orthodontique est souvent mise en place. Une attache est alors fixée sur la dent, qui est doucement guidée à l’aide d’un fil. Il convient d’ajuster progressivement la force de traction afin de ne pas fragiliser la racine. Des rendez-vous réguliers permettent de suivre l’évolution et de réajuster le traitement si besoin.


Prendre en compte l’âge du patient
L’âge est un facteur clé dans la prise de décision. Chez l’enfant, une intervention entre 9 et 12 ans est souvent plus efficace. En effet, les dents sont plus réactives à la traction et les résultats sont plus rapides. Toutefois, il est indispensable de procéder à un bilan complet avant d’envisager toute extraction. Le traitement doit être réfléchi et adapté à chaque situation.
Chez l’adulte, la situation est différente. L’os étant plus dense, les extractions peuvent être plus complexes, et le déplacement des dents plus lent. De plus, lorsque la dent incluse se situe à proximité de structures nerveuses, des examens en 3D sont généralement recommandés afin d’évaluer les risques liés à l’intervention.
Les localisations les plus fréquentes
Certaines dents sont plus souvent concernées par une inclusion. C’est notamment le cas des canines maxillaires. Leur éruption doit être surveillée dès l’âge de 9 ans. Lorsqu’elles sont orientées vers le palais, une désinclusion chirurgicale est souvent nécessaire. Un traitement interceptif permet alors de dégager leur chemin d’éruption. Une fois la dent exposée, une attache collée permet de guider sa progression vers la bonne position.
Les incisives centrales, en particulier celles de la mâchoire supérieure, peuvent également rester bloquées. Dès l’âge de 7 ans, toute asymétrie dans leur éruption doit faire l’objet d’une attention particulière. Si une incisive semble absente, il convient de rechercher une dent surnuméraire ou un kyste pouvant faire obstacle. Après extraction de l’obstacle, il est parfois possible d’attendre une éruption spontanée. Toutefois, si celle-ci ne survient pas dans les six mois, une traction orthodontique doit être envisagée sans tarder.
Le traitement des dents incluses repose sur un diagnostic précis et une prise en charge individualisée.
Qu’il s’agisse de créer de l’espace, de désinclure une dent ou de la guider en position, chaque étape doit être adaptée à l’âge du patient et à la situation clinique. Une intervention précoce, lorsque cela est possible, permet souvent d’éviter des complications futures.
En cas de doute, n’hésitez pas à consulter un orthodontiste pour un bilan complet. Un suivi attentif est la clé pour restaurer l’équilibre et l’harmonie de votre sourire.